ARTICLES
-
We analyze the female dominance of volunteerism in America.
-
The father of the computer decided he's had enough of all the racket in Victorian London.
-
The inventors of the Black-Scholes Formula won a Nobel Prize for risk-management. Then their hedge fund needed a bailout.
-
Cindy Gallop wants to disrupt the only industry Silicon Valley won't touch: sex.
-
The story of how the early 20th Century brewmaster William T. Gosset, the "Student" of the Student's t-test, transformed statistics and manufacturing.
-
The history of literature looks wildly different -- and perhaps more accurate -- through the eyes of a machine.
-
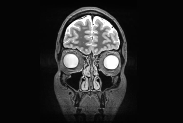
Russell Poldrack is the ultimate quantified self. For a year and a half he tracked his sleep, his diet, his mood. And, every few days, he had his brain scanned.
-
A 30,000+ word blog post about how to write about information and make it spread. And something new from us: The Priceonomics Data Studio.
-
How will this quirky middleman market survive today's changing music industry?
-
We regularly call out ad agencies and Hollywood for using stereotypes. But our own pictures on social media may be just as bad.
-
How to make hundreds of millions of dollars by taking pictures of other people's pictures.
-
We explore the surprisingly noble history of the sister city and examine what we can learn about international diplomacy from the cities that choose to pair up.
-
Selling human hair is a multi-billion dollar business. The problem is finding enough of it.
-
A content marketing performance dashboard made by Priceonomics. Measure what happens after you publish content.
-
Every Thanksgiving, the President of the United States "pardons" a lucky turkey and sets it free on a farm. But there's a dark side to the tradition.
-
Roommates are an increasingly important part of Americans lives. We explored exactly where and when people live with friends or strangers.
-
Some of China's largest, newest municipalities are dramatically under-populated.
-
What can we learn from Stack Overflow about the present and future of computer programming? Questions about Javascript, Android-Studio and Elasticsearch are trending up, while interest in jQuery, Emacs and Flash is declining.
-
-
-
If there is anything to learn from paleo sleep, it’s that sleep can be more than just an off switch.
-
-
How hundreds of thousands of Filipino soldiers fought in the U.S. military and helped win World War II. And how history -- and the American government -- forgot them.
-
The data shows that Dr. Seuss continues to rule over bestsellers lists. We explore his rise to prominence and persistent appeal.
-
As the wealth gap widens in America, vintage, high-end cars are selling for more than ever before at the auction block.